Les causes

La pemphigoïde bulleuse est liée, comme toutes les maladies auto-immunes, à la fabrication anormale par l' organisme d' anticorps dirigés contre soi-même (auto-anticorps). Dans ce cas précis, les auto-anticorps sont dirigés contre deux protéines de la membrane basale, structure qui se situe entre la ²&couche superficielle de la peau, l' épiderme, la couche sous-jacente. Ces protéines sont nommées antigène BPAG1 (ou BP230), et antigène BPAG2 (ou BP180).

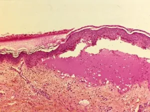
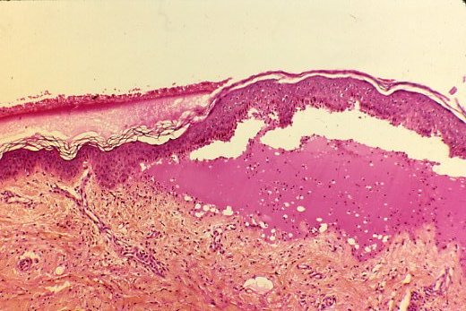
L' altération de ces deux molécules par la fixation des auto-anticorps perturbe la cohésion entre l'épiderme et le derme, et provoque donc la formation d' une cloque (« bulle »), qui ensuite s' érode (« érosion post-bulleuse »), avant de cicatriser totalement sans laisser de trace.

Le phénomène touche essentiellement la peau, et dans de rares cas les muqueuses (buccale, génitale notamment).

Quels examens ?

La biopsie

Le diagnostic de certitude repose sur le prélèvement (« biopsie ») d' une lésion cutanée récente (si possible avant application de crème à la cortisone). Deux prélèvements sont réalisés, sous anesthésie locale : un pour analyse histologique, qui met en évidence un décollement entre l' épiderme et le derme, et l' autre pour une analyse en « immunofluorescence directe », qui montre la présence des auto-anticorps fixés dans la peau, marqueur majeur du diagnostic de la maladie.


Tests sanguins / immunologiques

Dans le sang, on constate souvent, en phase active de la maladie, une élévation importante de certaines cellules inflammatoires (polynucléaires éosinophiles) et on détecte les auto-anticorps spécifiques de la maladie par plusieurs tests immunologiques. Un de ces tests (« ELISA BP180 »), est important à surveiller en cours et en fin de traitement pour détecter un éventuel risque de rechute de la maladie après arrêt des médicaments. Ces tests sont préférentiellement réalisés à l’hôpital, car ils ne sont pas tous remboursés s' ils sont faits en ville.