info Résumé
Le prurit est défini comme une sensation déplaisante qui provoque le besoin de se gratter.
Le prurigo est une dermatose (maladie de peau) caractérisée par des lésions prurigineuses (qui grattent) certaines excoriées et/ou associées à des stries de grattage. En pratique, ce terme est souvent banalisé à toute dermatose prurigineuse excoriée, qu' elle soit aiguë ou chronique. De fait, une définition est établie depuis 2018 pour le prurigo chronique.
On distingue les prurigos aigus (de durée inférieure à 6 semaines) qui sont le plus souvent secondaires à des morsures d' insectes, des prurigos chroniques qui peuvent être d' origine dermatologique, neurologique, psychiatrique, systémique. Dans ce dernier cas, le prurigo doit être considéré comme signe d' appel car aucune dermatose n' est objectivable.
Des examens complémentaires à visée étiologique sont alors proposés. Le terme de prurigo strophulus est essentiellement utilisé chez l' enfant et correspond à un prurigo aigu souvent bulleux réactionnel à une hypersensibilité aux acariens. Il peut devenir chronique.
Prurit / prurigo, c’est quoi ?
Le prurit
Le prurit est défini comme une sensation déplaisante qui provoque le besoin de se gratter. Il est un motif fréquent de consultation. La recherche est particulièrement dynamique depuis plus de 20 ans et ses mécanismes sont de mieux en mieux connus. Le prurit est un symptôme, tout comme la douleur. Il est donc en rapport avec une maladie qu' il convient de déterminer. Il est facile à expliquer quand il est associé à une maladie dermatologique (gale, eczéma, urticaire, maladies bulleuses… ) mais il est plus difficile quand ce prurit est isolé. On parle alors de prurit sine materia.
Le prurigo
Définition
Le concept de prurigo est assez flou puisqu' il est utilisé dans le monde médical pour définir des lésions provoquées par le prurit. Une conférence de consensus internationale a donc proposé en 2018 une définition devant faire autorité pour le prurigo chronique.
Le prurigo chronique est une maladie autonome définie par un prurit depuis plus de 6 semaines, des antécédents et/ou des signes de grattage répétés, de multiples lésions cutanées prurigineuses localisées ou généralisées. Il peut être d' origine dermatologique, systémique, neurologique, psychiatrique/psychosomatique, mixte ou indéterminée.
La gravité du prurigo chronique peut être évalué par une échelle, mais en pratique elle sert essentiellement pour les études cliniques.
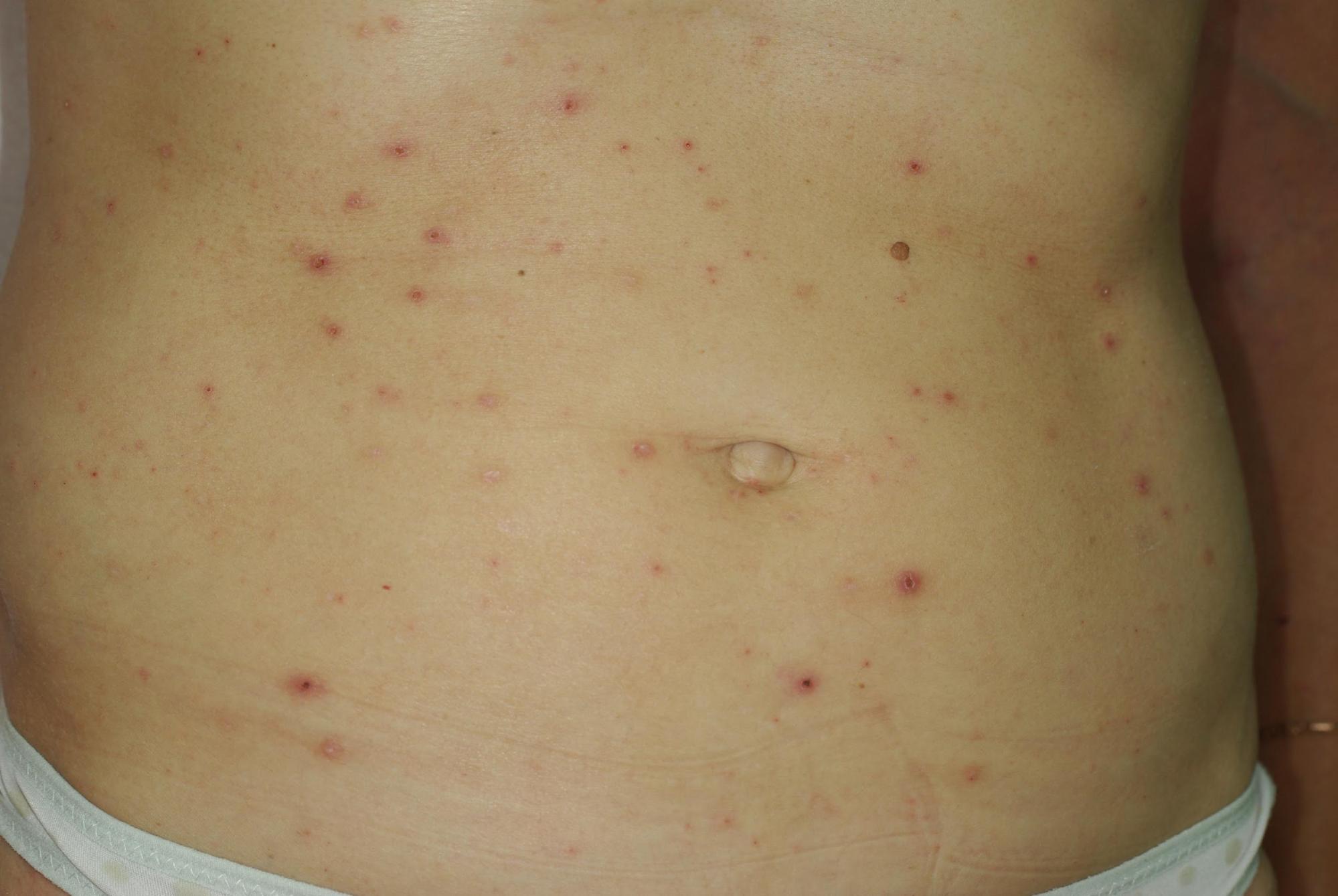
Formes cliniques du prurigo
On décrit 5 formes cliniques parfois associées :
- papuleux
- nodulaire
- en plaque
- ombiliqué
- linéaire
Un cas particulier chez l' enfant
Chez l' enfant, on peut retrouver les mêmes étiologies que chez l' adulte, mais le mécanisme allergique semble prédominant.
Une étude française en 2016 a proposé de définir trois groupes de prurigo chronique de l' enfant en fonction des saisons : per annuel, estival ou saisonnier non estival. Dans leur étude, le prurigo chronique per annuel est le plus souvent associé à un terrain atopique avec une sensibilisation aux acariens domestiques. Le prurigo estival est le plus souvent associé aux piqûres de moustique. Le prurigo saisonnier non estival est le plus souvent associé à des piqûres de puces. Cela permet d' avoir une orientation étiologique.
Le prurigo bulleux est souvent appelé prurigo strophulus et est en rapport avec une hyper réactivité aux acariens.
Les complications et les séquelles
La principale complication est la surinfection. On parle d' impétiginisation.
Les principales séquelles sont les cicatrices dyschromiques (hyperpigmentées ou achromiques).
À long terme, il existe un risque de cancérisation.
Les causes du prurit et du prurigo
Le prurit
L’interrogatoire est capital pour l’orientation étiologique (tableau 1).
Le prurit peut être localisé ou généralisé. Selon la localisation, cela permet de donner des orientations diagnostiques (tableau 2, non exhaustif).
Le prurigo, comprendre brièvement
Le prurigo chronique survient à cause d' une sensibilisation neuronale au prurit et du développement d' un cercle vicieux prurit-grattage.
Cette sensibilisation est à la fois périphérique (hyperexcitabilité des terminaisons nerveuses cutanées augmentée par le grattage) et centrale (dysfonctionnement des interneurones de la moëlle épinière et modification de la connectivité cérébrale).
Le prurigo chronique peut avoir un retentissement sur la qualité de vie. La présence de co-morbidités psychiatriques (anxiété, dépression, idées suicidaires) est plus fréquemment associée.
Quels examens pour prurit et prurigo ?
Des examens sont principalement proposés pour les prurits non dermatologiques, puisqu’ils peuvent être le premier signe d’une maladie systémique.
Avant tout examen, il faudra :
- éliminer une consommation de cannabis
- lister les médicaments pris habituellement par le patient car certains sont pourvoyeurs de prurit.
Les examens exploreront principalement le rein, les foie/pancréas, la lignée sanguine/ganglions, la thyroïde, le diabète, les carences, des infections dont le VIH.
On parle de prurit paranéoplasique quand celui ci révèle un cancer associé et disparaît avec le traitement du cancer.
Liste de médicaments pourvoyeur de prurit (non exhaustif)
- Antibiotiques (bêtalactamines)
- Antipaludéens de synthèse (chloroquine)
- Analgésiques et anti-inflammatoires (opiacés)
- Traitements cardiovasculaires (bêtabloquants, inhibiteurs de l'enzyme de conversion de l'angiotensine, sartans)
- Hydroxyéthylamidon (produit de remplissage dans le collapsus cardiovasculaire)
- Interleukine 2
- Statines
Principales étiologies à ne pas méconnaître devant un prurit sine materia
Les principales étiologies
Prurit urémique
• Insuffisance rénale chronique
Prurit cholestatique
• Lithiase biliaire
• Pancréatite
• Cancer du pancréas
• Métastases hépatiques ou pancréatiques
• Hépatites
• Cirrhose biliaire primitive
• Cholangite sclérosante primitive
• Cholestase gravidique
Prurit hématologique
• Lymphomes (maladie de Hodgkin +++)
• Gammapathies monoclonales
• Syndromes myéloprolifératifs
 – Maladie de Vaquez
 – Thrombocytémie essentielle
 – Myélofibrose primitive
• Mastocytose
Prurit paranéoplasique
Troubles endocriniens et métaboliques
• Carence martiale
• Dysthyroïdies
• Hyperparathyroïdie
• Diabète
• Grossesse
Prurit associé à une infection (VIH +++)
Prurit sénile
Prurit neurologique
Prurit psychogène
Suivi et traitement du prurit et du prurigo
La prise en charge thérapeutique est basée sur le traitement de la maladie sous jacente (traitement étiologique), mais on associe aussi un traitement dit symptomatique.
Soins locaux
- hygiène douce (Huile lavante, baume lavant, syndet, surgras)
- émollient quotidien
- dermocorticoïdes en dehors d’étiologie infectieuse
Traitement général
- anti histaminique +/- sédatif
Les autres traitements sont discutés après échec de la prise en charge ci dessus, en concertation avec le spécialiste : inhibiteur de la recapture de la sérotonine, neuroleptique, thalidomide, photothérapie…
Il est parfois nécessaire de recourir à une prise en charge psychologique.
info Prurit et prurigo en 6 points :
- les avancées scientifiques des dernières années permettent de mieux comprendre le prurit, mais elles ne sont pas abouties.
- le prurigo est le plus souvent une lésion secondaire à du grattage. Il est plus rarement primitif.
- on ne retrouve parfois pas d' explication au prurigo chronique.
- le prurigo chronique idiopathique doit être surveillé régulièrement, car il peut révéler au bout de plusieurs mois ou années une pathologie systémique sous-jacente.
- le traitement est avant tout étiologique et symptomatique.
- il est parfois nécessaire de recourir à une prise en charge psychologique.
 
       
     
     
     
     
     
     
     
     
     
     
     
     
    